Щека состоит из мышечных волокон, соединительной и жировой ткани, обильно пронизанных кровеносными и лимфатическими сосудами. Именно поэтому важно подмечать, когда возникает отек щеки, причины его возникновения, сопутствующую симптоматику – все это может указывать на развитие серьезных патологических процессов как в близлежащих органах, так и в организме в целом.
Отечность: причины локального характера

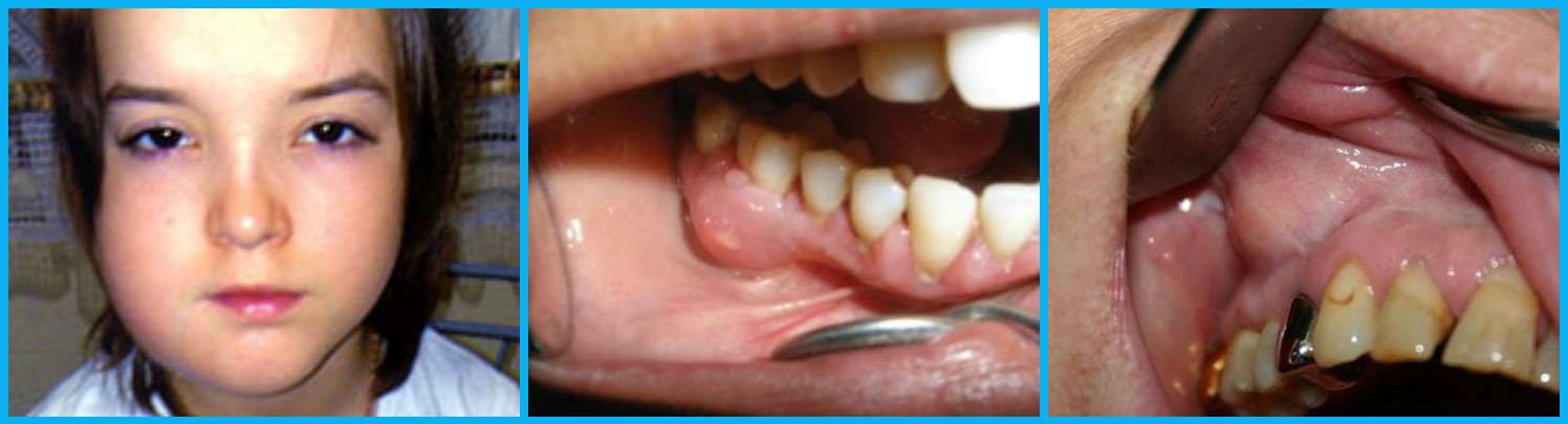
После удаления зуба припухлость в зоне оперативного вмешательства может сохраняться несколько часов, но если отек щеки после анестезии не сходит в течение суток – это серьезный повод обратиться к стоматологу, а в некоторых случаях и к челюстно-лицевому хирургу.
Воспаление гайморовых пазух. Если зуб не болит, а отек на скуле проявляет тенденцию к распространению в зону глаз, то это может указывать на развитие гайморита. При этом человек ощущает боль при пальпации надчелюстных пазух, затруднение оттока слизи из носовой полости и общую слабость в организме.
Лимфаденит. Воспаление околоушных лимфатических узлов становится частой причиной того, почему опухает щека. При этом человек ощущает боль при пальпации воспаленного участка. Стоит быть особенно внимательными, если в результате лимфаденита отекла щека у ребенка – как правило, это указывает на поражение организма вирусной инфекцией.
Ишалгия лицевого нерва. Воспаление лицевого нерва может спровоцировать асимметрию контуров лица в иннервальной зоне: лицо отекает с одной стороны, мимическая мускулатура малоподвижна, происходит опущение уголков рта и глаза.
Отечность: причины общего характера
Мононуклеоз. Острая вирусная инфекция на начальной стадии по симптоматике схожа с ангиной. Диагностика и лечение происходят исключительно в клинических условиях.
Паротит. Острое поражение слюнных желез вирусной инфекцией провоцирует «разбухание» нижней части лица. Как правило, отек щеки у ребенка проявляет тенденцию к смещению вниз, в область шеи. У пациента повышается температура тела, появляется болезненность кожных покровов в области поражения, общая слабость организма.
Дифтерия. Поражение миндалин бактериальной инфекцией приводит к тому, что опухает щека и шея на фоне повышения температуры тела. При визуальном осмотре на миндалинах хорошо заметен характерный белесый налет.
Туберкулез. Поражение слюнных желез туберкулезной палочкой провоцирует отечность тканей лица. При этом отек нарастает медленно, на ранних стадиях оставаясь незаметным для окружающих.
Аллергия. Специфическая реакция организма на контакт с аллергеном может привести как к отеку всего лица, так и отдельной его части. При отеке Квинке (острой аллергической реакции) следует немедленно обратиться к врачу.
Доброкачественные и злокачественные новообразования. В редких случаях причиной того, почему опухла щека, являются опухолевые новообразования. В таких случаях, как правило, отек формируется вокруг патологического уплотнения на коже.
Что может вызвать вздутие щеки
Разберемся в вопросе, почему, под влиянием каких факторов, опухает щека. Любая припухлость щеки связана с процессами воспалительного характера. Не следует надеяться, что воспаление пройдет само — оно может быть очень серьезным даже в тех случаях, когда зуб не болит, но щека опухла. Если запустить болезнь и не обратиться за врачебной помощью вовремя, возможны самые неблагоприятные последствия.
Все причины можно выделить в три основные группы:
- болезни, которые развились в полости рта;
- заболевания органов, расположенных в других частях тела;
- следствие лечения зубов.
Увеличение размеров щеки под влиянием болезней полости рта
К таким заболеваниям относятся пульпит, пародонтоз, периодонтит и другие. Под действием патогенных микроорганизмов ткани могут воспалиться и распухнуть. Возникновение отечностей приводит к появлению боли и дискомфорта во рту.
Развитие флюса
Одонтогенный периостит, который также называют флюсом, представляет собой воспаление надкостницы. Болезнь может возникнуть в результате кариозного поражения зуба, из-за механического повреждения тканей или при охвате воспалительным процессом десневого кармана. Опухание щеки сопровождается образованием гноя в десне. Постепенно его количество увеличивается, из-за сдавливания нервных рецепторов окружающих тканей отмечается интенсивная пульсирующая боль.
При выходе гнойных масс наружу на десне возникает отверстие — свищ. При этом давление гноя снижается и боль становится слабее. Лечение флюса хирургическое — делается разрез для удаления гноя. В отверстие вставляется резиновая трубочка — дренаж, препятствующая зарастанию отверстия до полного выхода гноя. При отсутствии лечения гной может попасть в кровь, способствуя интоксикации организма продуктами распада клеток и бактерий, распространению инфекции в другие органы с появлением новых очагов воспаления. В тяжелых случаях может развиться заражение крови — сепсис, представляющий смертельную угрозу для здоровья.
Появление воспалительного инфильтрата
Может сопровождать такие заболевания, как периодонтит, пульпит. Воспалительный инфильтрат представляет собой уплотненный бугорок на щеке. Обычно за несколько дней до образования уплотнения ощущается боль в зубах. При отсутствии своевременного лечения возможно образование флегмоны или абсцесса.
В области воспалительного инфильтрата скапливается гной, состоящий из клеток погибших тканей. Это опасное состояние, так как инфекция и гнойные элементы могут распространиться в ткани, расположенные под челюстью, либо подняться выше, поражая подкожные слои в области глаз.
Возникает риск перехода воспалительного процесса на мозг либо развития сепсиса, что может привести к летальному исходу.
Отек при пародонтозе
В пожилом возрасте некоторые люди страдают пародонтозом — заболеванием, приводящим к опущению десны и потере зубов. Болезнь протекает без болезненных ощущений, но может сопровождаться отеками. Опухоль с щеки нельзя устранить с помощью полосканий рта. Последнюю, четвертую, стадию пародонтоза лечат хирургическими методами.
Осложнения, вызываемые прорезыванием или ростом зубов мудрости
Часто при развитии зубов мудрости может воспаляться расположенная над зубной коронкой слизистая оболочка. Попадающие внутрь кожной складки частички пищи не удаляются при чистке зубов и способствуют размножению микробов, деятельность которых приводит к воспалению тканей. В результате щека может напухнуть и болеть.
Воспаление щеки также возникает, если при приеме пищи зуб мудрости попадает на слизистую оболочку и прокусывает ее. Это также ведет к отеку тканей. Что делать, если опухла щека из-за неправильного развития восьмого зуба — не затягивайте с обращением к стоматологу. Иногда единственным способом решения проблемы и предотвращения возобновления отека в будущем является удаление зуба мудрости.
Инфекционное поражение тканей
При занесении в ткани инфекции возникает воспаление, болезненность, опухает щека. В подобном состоянии необходимо пройти курс лечения с приемом антибиотиков и средств, снимающих воспаление.
Вздутие щеки как следствие лечения зубов
В ряде случаев щека может припухнуть после лечения зубов. Заподозрить осложнение позволяют следующие признаки — опухоль увеличивается в размере, возрастает интенсивность боли, повышается температура тела, ощущается распирание во рту в месте отекания тканей.
Возможные причины осложнения:
- Аллергическая реакция на компоненты материала, входящего в состав зубной пломбы. Отек возникает через небольшой промежуток времени после пломбирования зуба. Проявляется неприятными ощущениями из-за того, что распухла десна или щека. Для устранения проявлений необходима замена пломбы на другую с гипоаллергенными составляющими.
- Неполное удаление нерва при лечении пульпита. Если в каналах зубного корня остались пораженные воспалением частицы, инфекция распространяется на здоровые ткани. В результате отека щека может надуться и опухнуть. Чтобы не потерять зуб, нужно сразу же обратиться за помощью в лечебное учреждение.
- Несоблюдение врачебных рекомендаций после удаления зуба. После операции необходимо воздерживаться от употребления горячей и твердой пищи, алкоголя. Для устранения отека рекомендуется периодически прикладывать к опухшей стороне щеки лед примерно на 10 минут.
- Аллергическая реакция на обезболивающий препарат, используемый при удалении зуба. Помимо отека тканей может возникнуть одышка и затруднение дыхания. Для его восстановления необходима срочная медицинская помощь.
- Следствие разреза на десне, обеспечивающего отток гноя. Такая процедура часто приводит к увеличению опухоли, но со временем объем инфильтрата уменьшается и щека принимает обычную форму.
Киста сальной железы
При этом заболевании во рту вначале появляется маленький вздутый бугорок, а спустя некоторое время и щека может сильно раздуться. Лечение недуга оперативное.
Воспаление лимфоузлов
Дислокация области припухлости смещена в сторону шеи. Чаще всего лимфатические узлы воспаляются при простудных заболеваниях. Визуально и на ощупь заметно, что щека опухла внизу и болит при приближении к поверхности лимфоузла.
Новообразования
Когда зуб не болит, но щека опухла, можно заподозрить образование доброкачественной или злокачественной опухоли. Необходимо своевременно обратиться к специалисту для обследования организма и лечения заболевания.
Патологии внутренних органов
Отек щеки может возникнуть при заболеваниях сердца, нарушении работы почек. При недостаточно эффективном выведении жидкости из организма она может скапливаться в отдельных частях тела. Убрать отеки позволяет назначение соответствующего лечения. С улучшением работы внутренних органов опухшая щека принимает обычный вид. Изменение формы лица может происходить при неврологических заболеваниях. Иногда этот симптом сопровождается болью в горле и заложенностью ушей.
Другие причины отека тканей щеки
Такие механические повреждения, как удары в лицо, падение и раны, нанесенные какими-либо предметами, также сопровождаются припухлостью и отеком тканей. При отсутствии кровотечения, перелома кости и признаков сотрясения мозга — головокружения, тошноты — постепенно отечность уйдет без специального лечения.
Если сильно опухла щека, снять отек можно прохладным компрессом из сырого картофеля (тертого или разрезанного на две половинки). Можно использовать мази, предназначенные для лечения ушибов. При увеличении припухлости следует проконсультироваться с травматологом.
К отеку может привести и повышенная чувствительность к компонентам косметических средств, аллергия на продукты, бытовую химию или медицинские средства. Нередко его вызывает пчелиный или осиный яд, которые насекомые вводят в место укуса. Определить, чем вызвана аллергическая реакция, позволяет соответствующий анализ крови. Для устранения отечности назначается прием медикаментозных средств.
Диагностика и лечение
Что следует делать, если опухла щека — обязательно проверьте состояние здоровья, пройдите обследование у врачей. Так как наиболее часто этот симптом отмечается при болезнях зубов, посетите стоматолога. При подозрении на воспалительные процессы в деснах и зубах выяснить, почему опухает и болит щека, определить состояние тканей позволит рентгенографическое обследование полости рта. При необходимости понадобится консультация других специалистов: терапевта, хирурга, невропатолога.
- Для снятия воспалительного процесса назначается прием Нимесила или другого противовоспалительного препарата.
- Убрать боль помогают Ибупрофен, Кеторол.
- Устранить аллергические проявления можно с помощью Супрастина, Диазолина или Эриуса.
- Для предупреждения распространения инфекции на другие органы используются такие антибиотики, как Линкомицин, Амоксиклав. Хороший эффект оказывает полоскание рта Мирамистином или Хлоргексидином.
- Снимать отечность и ускорять заживление тканей способны лечебные гели: Метродент, Троксевазин.
Сопутствующие симптомы
Симптомы, которые сопровождают набухание щек, напрямую связаны с главной причиной опухлости. Некоторые из наиболее известных симптомов, связанных с отеком щек, включают:
- крапивница;
- боль в горле;
- зубная боль;
- присоединение инфекции;
- сыпь;
- краснота;
- уплотнения;
- жирная, зудящая или сухая кожа;
- болезненные ощущения;
- повышение температуры;
- зуд в глазах;
- чихание;
- затрудненное дыхание;
- парестезия челюсти и щеки;
- опухлость лица, языка или губ.
Причины
Для постановки полноценного диагноза, правильного лечения, и снижения отечность щёк, необходимо выяснить причины появления симптомов. Наиболее вероятные причины отека:
Проблемы с зубами
Опухлость щеки на фоне проблем с зубами и деснами – это достаточно распространенная ситуация. Заболевания зубов и ротовой полости нередко приводят к появлению отека. Среди них:
- зубная боль;
- абсцесс зуба;
- пораженный 3-й моляр (зуб мудрости);
- распад зуба или;
- инфекция зуба;
- удаление зуба.
Недостаточное соблюдение правил гигиены в полости рта, и употребление сладких продуктов могут привести к разрушению эмали на зубах.
Бактерии, поселившаяся на зубной эмали, питаются сахаром и вырабатывают кислоту, которая эту эмаль разрушает, что приводит к повреждению зуба.
Зуб мудрости
Зубы мудрости также нередко становятся причиной появления отека щеки из-за их расположения. Инфекции, абсцесс, травмы (пломбирование или поломанный зуб) часто могут приводить к разбуханию щеки из-за болезни зуба мудрости.
Абсцесс
Опухшая щека из-за абсцесса – это довольно частое явление. Согласно [webmd.com] «абсцесс – это болезненная инфекция в корне зуба», которая обычно несет за собой полное разрушение зуба. Среди причин абсцесса находятся травмы (например, скол или сломанный зуб), заболевания десен, а также гингивит. Если игнорировать абсцесс зуба, может произойти разрушение эмали, что даст возможность бактерии перейти к зубной пульпе и распространиться на корень зуба и челюсть.
Некоторые из распространенных симптомов абсцесса зуба включают лихорадку, горький привкус во рту, опухшие гланды, разбухание, покраснение и опухание в области нижних и верхних челюстей, боли в десне, чувствительность к холодным или горячим продуктам, боль при еде и жевании.
В случае если у Вас есть абсцесс зуба, обратитесь за медицинской помощью к стоматологу и попробуйте различные домашние средства, которые мы обсудим позже, чтобы уменьшить боль.
После удаления зуба
Временный отек после удаления зуба, особенно если процедура была достаточно травматической, является нормальным явлением. Чаще всего такая ситуация наблюдается, когда вырывали зуб мудрости или другие моляры, так как после этого обычно образовывается временная глубокая рана. К счастью, она в любом случае затянется, хотя иногда на это может уйти месяц. Отек же обычно проходит через несколько часов, или реже – дней. При сильных болях и отечности первые дни можно применять нестероидные противовоспалительные препараты.
Но стоит быть осторожным и отличать нормальную припухлость щеки после удаления зуба и после занесения в рану инфекции. Хотя второе, при соблюдении основных рекомендаций, случается крайне редко.
Зубная боль
Зубная боль, вызванная любой из упомянутых проблем, включая абсцессы зубов, инфекцию или разрушение зуба, также может привести к увеличению щеки, особенно на стороне больного зуба. Обычно отечность щек сопровождается некоторой болью.
Процедуры пломбирования, удаления и чистки корневого канала
Стоматологические процедуры, например удаление зуба, чистка каналов и стоматологическая косметическая хирургия вызывают кратковременную отечность со стороны проводимых манипуляций. Припухлость, боль и дискомфорт должны исчезнуть через несколько дней.
Травма, пирсинг или операции на щеке
Перенесенные операции на лице могут сопровождаться кратковременным отеком. Также опухлость на лице может появиться после пирсинга, или получения травмы. При повреждении мягких тканей из-за ушиба, пластики носа, прокола или других травм в норме наблюдается незначительное опухание щеки. В таких случаях отек сопровождается болезненными ощущениями, небольшим кровотечением, а также покраснением и синяками. Степень проявления этих симптомов напрямую связана с масштабом пораженного участка. Отек со временем будет ослабевать. Чтобы помочь уменьшить припухлость и боль, попробуйте различные домашние средства, такие как холодные компрессы или медикаментозные средства для снятия болевых ощущений.
Свинка и опухшие околоушные железы
Свинка или эпидемический паротит – это еще одна возможная причина появления отека на щеке. Ее основные симптомы – это повышенная температура тела, усталость, мышечная и головная боль, отсутствие аппетита, отек щеки, шеи, а дальше отек слюнных желез. Симптомы паротита возникают на 16-18 день после инфицирования, и могут длиться до 7-10 дней.
Аллергическая реакция
Индивидуальная непереносимость некоторых продуктов питания, шерсть домашних животных, лекарства, некоторые компоненты косметических препаратов и других веществ может спровоцировать аллергическую реакцию, на фоне которой временами бывает опухлость щек и глаз, носа, лица, языка или губ. Аллергические реакции часто сопровождаются крапивницей, зудом, сыпью, слезоточивостью, заложенностью носа и другими симптомами.
Лимфаденопатия или опухание лимфатических узлов
Иногда опухлость может появиться из-за воспаления лимфатических узлов, которые располагаются за ухом. Опухание лимфатических узлов может быть связано с инфекцией зубов, раком и другим.
Воспаление слюнных желез
При воспалении слюнных околоушных желез, которые находятся в щеке, локализация отечности располагается ближе к уху или глазу. Опухание подчелюстных и подъязычных желез проявляется отеком нижней части щеки и возле подбородка.
Причиной опухания слюнных желез чаще всего бывают бактериальные или вирусные инфекции, которые приводят к отеку и воспалению. Общими причинами набухания слюнных желез являются ВИЧ, свинка, слюнные камни, опухоль, синдром Шегрена, недоедание, грипп A, плохая гигиена и обезвоживание.
При сиалолитиазе (засорении слюнного канала камнями), может наблюдаться опухание щеки.
Прежде чем начать лечение воспаленных желез, необходимо точно установить диагноз. Только после этого врач сможет подобрать необходимые препараты.
Распухшая скуловая кость
Иногда может возникнуть отечность щек в результате опухания скулы. Это может произойти при наличии таких факторов как:
- травма (например, от удара);
- синусит;
- инфекции слюнных желез;
- инфекции или удаления зубов.
В данном случает отек может быть в районе верхней или нижней челюсти на любой стороне или одновременно с обеих. Он может доставлять болезненные ощущения, когда Вы лежите на пострадавшей стороне.
Булимия
Булимия – это психологическое расстройство, связанное с резкими перепадами в приеме пищи, при котором человек страдает от приступов пищевого алкоголизма (употребление большого количества пищи за короткий промежуток времени), за чем следует попытка избавиться от потребляемой пищи (чистка), [Wikipedia.org], путем вызова рвоты, изнурительными физическими нагрузками и приемом слабительных препаратов.
Неконтролируемое быстрое питание, желудочный рефлюкс после еды, как правило, разрушают зубы, вызывают опухание слюнных желез и щек, [helpguide.org]. Терапия при подобном заболевании включает в себя работу с психологом для выработки поведенческих изменений, прием антидепрессантов, физиологическую терапию и курсы управления стрессом.
Другие причины:
- Кистозные акне – кистозные угри на щеке могут привести к отеку, особенно на стороне, пораженной угрями.
- Нарыв или абсцесс кожи – это «локализованная инфекция в коже, которая начинается с покраснения». [Medicinenet.com], приводят к образованию гноя под кожей, и, как результат, отекe.
- Новообразования и келоиды – келоидные рубцы образуются из-за избыточного образования рубцовой ткани, и обычно безболезненны.
- Целлюлит – это гнойное воспаление подкожной клетчатки, из-за которого кожа набухает и краснеет, также возможно местное повышение температуры.
- Синус, опухающий в щеку. Иногда серьезный синусит, особенно верхнечелюстной синусит, может привести к отеку на щеках. Это будет сопровождаться такими симптомами, как боль в скуле, опухшая и красная скула, выделения из носа и лихорадка.
- Побочные эффекты некоторых лекарств. У некоторых людей наблюдалась опухлость щеки и десны после новокаина (новакаин).
- Вросшие волосы
- Розовые угри (розацеа)
- Сальные кисты
- Себорея
- Рак слюнных желез, кожи или полости рта
- Недоедание
- Наследственная ангиодистрофия
- Ожоги
- Язвы на внутренней стороне щеки
Отек на внутренней стороне щеки
Иногда отек расположен на внутренней стороне щеки. Это может быть вызвано большинством причин, о которых уже упоминалось – проблемы с зубами (разрушение и инфекция), язвы, опухшие слюнные железы, язвы рта и щек, травма, инфекции (бактериальные или вирусные), абсцесс зуба, проблемы с лимфатическими узлами (особенно преаурикулярные, подчелюстные узлы и тонзиллярные лимфатические узлы), свинка.
Кроме того, различные процедуры, такие как пломбирование, челюстно-лицевая хирургия, удаление зубов, пирсинг щеки, могут также приводить к опухшим щекам внутри рта.
Эта проблема встречается как у взрослых, так и у детей и может сопровождаться онемением щеки. Лечение опухшей внутренней щеки будет зависеть от основной причины болезни.
Отек щеки и десны
Отек щеки и десны может быть вызвано любой из упомянутых причин.
Кроме того, проблемы с деснами могут быть связаны с гингивитом, синдромом прорезывания зубов, герпетическим стоматитом, парулисом, периодонтальной болезнью, недоеданием, плохо подходящими зубными протезами, а также вирусными или грибковыми инфекциями. Также известно, что перикоринит (воспаление мягких тканей десны), приводит к опуханию десны и щеки.
При таком виде отека пораженный участок может быть онемевший и болезненный при жевании. Чтобы уменьшить припухлость можно попробовать прикладывать холодный компресс, делать полоскания солевым раствором, а также применять противогрибковые препараты.
Отек щеки у ребенка
У детей эта проблема может быть вызвана переломом костей, аллергической реакцией, инфекцией, абсцессом зубов, пломбированием, некоторыми инфекциями десен, эпидемическими паротитами и другими. Отек может сделать щеки красными, вызвать зубную боль, а также может распространиться на челюсти и шею в зависимости от причины. Также у маленького ребенка припухлость может быть связана с прорезыванием зубов, что не представляет опасности и пройдет само по себе.
Отек челюсти
Отек щеки, челюсти и области шеи, может быть вызван любой причиной опухания щек, о которой писалось выше. Он может сопровождаться болью или онемением в зависимости от основной причины появления отека.
К числу распространенных причин относятся: травма тупым предметом, стоматологические операции, челюстно-лицевая хирургия, коррекционные операции на челюсти, хирургия подбородка, проблемы с зубами, инфекции слюнных желез и прочие. Они могут поражать как щеки, так и челюсть.
Отек щеки и глаза
Иногда отечность щек может сопровождаться опухлостью на глазах, особенно если она вызвана аллергией. В то же время проблемы с глазами могут также вызвать отек на щеках. Убедитесь, что Вам был поставлен правильный диагноз.
Боль при отеке
Не все отеки сопровождаются болью. В норме при отечности могут быть незначительные болевые ощущение, или же их не будет вовсе. Иногда кисты, абсцесс зуба, аллергические реакции, отеки из-за недоедания и т. д. не вызывают болевых ощущений.
Если отек все же сопровождается болезненными ощущениями, можно применить безрецептурные противовоспалительные препараты, а также применять холодные компрессы для уменьшения воспаления и отека.
Лечение
Вариант лечения опухшей щеки будет зависеть от основной причины. Вам следует обратиться за медицинской помощью для диагностики и назначения правильных лекарств. Обычные методы лечения отекшей щеки включают:
Медикаменты – к ним могут относиться антибиотики, противовирусные препараты, противовоспалительные или другие назначенные лекарства в зависимости от того, что было причиной появления отека.
Антигистаминные препараты – если отек вызван аллергической реакцией, Вам необходимо использовать антигистаминные препараты и избегать аллергенов.
Домашние средства – Вы также можете попробовать ряд домашних средств для уменьшения отечности.
Как снять отек в домашних условиях?
Помимо медикаментозного лечения есть некоторые методы, которые помогут справиться с отеком в домашних условиях. Некоторые из этих методов лечения будут хороши для лечения отека вызванного стоматологическими проблемами.
Теплые и холодные компрессы
При легкой степени отечности, вызванной травмой, лечением зубов или хирургическим вмешательством можно применять теплые или холодные компрессы.
Хорошего эффекта можно добиться, прикладывая к больному участку холодный компресс со льдом. Для этого несколько кубиков льда следует обернуть в кусок ткани или полотенце и прикладывать к отеку в течение 20 минут.
Картофельный компресс
Наносить ломтики картофеля на щеку на 15-20 минут 2-3 раза в день. Это поможет уменьшить боль и отек.
Ешьте мягкую пищу, избегайте горячих напитков и уменьшайте потребление соли
Употребление чипсов или любых других твердых продуктов может оказывать давление на зуб и усилить отечность щек. Вместо этого употребляйте мягкие продукты, а также не стоит пить горячие напитки. Слишком большое потребление соли, в том числе, может вызвать отек лица и щек.
Другие способы
- Соблюдайте гигиену полости рта. Необходимо чистить зубы дважды в день, что бы предотвратить размножение бактерий. Это уменьшит вероятность присоединения инфекции или разрушения зубной эмали, что может привести к отеку щеки.
- Полощите рот раствором морской соли из расчета 1/2 чайной ложки соли на стакан теплой воды.
Когда нужно обратиться к врачу?
Если у Вас появилась сильная и внезапная опухоль щеки, которая сопровождается опуханием губ, лица или языка, а также тяжелым затрудненным дыханием (включая свистящее дыхание, удушье), необходимо незамедлительно обратиться за медицинской помощью, так как это может быть результатом серьезной аллергической реакции, которая может угрожать жизни.
Причины
Причины отёка щеки могут разниться. Воспаление может быть следствием множества разных факторов. Тем не менее, можно выделить ряд наиболее распространённых причин опухания:
- Стоматологические. Как правило, причина воспаления щеки кроется в болезни дёсен или зубов. Можно выделить ряд вероятных ситуаций:
- воспаление может быть вызвано инфекционным заражением в корне уже запломбированного зуба, когда нерв уже удалён, но корневые каналы не были полностью очищены;
- удаление зуба в ходе сложной хирургической операции способно вызвать воспаление десны, которое может, в свою очередь, повлечь за собой отёк и покраснение слизистой оболочки щеки;
- заболевания дёсен, типа гингивита, также могут вызвать воспаление щеки, и оставлять такую болезнь без внимания нельзя, так как впоследствии она может перерасти в периодонтит или пародонтит, лишая пациента зубов;
- прорезывание зуба мудрости часто сопряжено с рядом неприятных последствий, одним из которых может стать воспаление и опухание щеки, если зуб растёт криво и в неправильную сторону.
- Инфекционные заболевания. За исключением чисто стоматологических инфекций существует и множество иных инфекционных заболеваний, вызывающих воспаление щеки с внутренней стороны. Например, эпидемический паротит поражает околоушные слюнные железы, что вызывает сильные отёки на шее и в области щёк. В зрелом возрасте такое заболевание переносится тяжело и его лечение должно проходить под строгим контролем инфекциониста. Ещё одной инфекций, способной вызвать воспаление щеки можно считать лимфаденит, которые поражает ближайшие к ротовой полости лимфатические узлы.
- Аллергическая реакция. В случае индивидуальной непереносимости некоторых продуктов, а также укусов насекомых, может наступить острая анафилактическая реакция, вызывающая отёки и покраснения шеи, лимфоузлов и слюнных желёз.
- Травмы. Опухание щеки вполне может быть следствием ушиба мягких тканей и проходит в течение суток. Если травма не повредила челюстные суставы, костную ткань и зубы, худшим последствием будет только след от ушиба и проходящая со временем гематома.
- Опухоль. Самым редким, но в то же время самым опасным возбудителем воспаления и отёка щеки будет раковая опухоль. Развивается она сравнительно медленно и на первых порах выявить опухоль бывает непросто, а её симптомы могут быть приняты за проявления других заболеваний.
Первая помощь
В зависимости от причин появления отёка различаются и методы оказания первой помощи. Так, в случае травмы, если только она не повлекла за собой повреждения лицевых костей, следует чередовать сухие и холодные компрессы, а также покрыть ушибленную область противовоспалительным гелем.
Отёк щеки как с левой стороны, так и с правой, в данном случае будет лишь незначительным косметическим дефектом на некоторое время.
Если причина оказалась стоматологической, следует немедленно посетить дантиста, а в ожидании визита можно применять аптечные противовоспалительные средства и антисептические отвары для полоскания рта, чтобы снять воспаление щеки внутри.
Что касается аллергической реакции, здесь на помощь придут антигистаминные препараты.
Если отёк щеки наступил по причине укуса насекомого, можно также применять компрессы из противовоспалительных средств.
Тем не менее, следует всё-таки посетить врача и избегать активного самолечения. Снятие первичных симптомов не означает устранение проблемы, а эффективное и правильное лечение может назначить лишь специалист.
Нельзя накладывать на место воспаления горячие компрессы, так как те способны инициировать гнойный процесс. Также, лучше воздержаться от приёма антибиотических средств до постановки диагноза врачом.
Лечение
В случае обнаружения у себя продолжающего отёка щеки, в первую очередь следует нанести визит дантисту. Тем более, если ранее пациент переносил заболевания ротовой полости. В случае отсутствия стоматологической причины вас могут отправить к ряду других докторов, от отоларинголога до онколога.
Самым первой процедурой, скорее всего, будет рентгенография проблемной области. По данным снимка врач сможет определить диагноз и назначить соответствующее лечение. Самолечение без консультации со специалистом может оказать крайне негативное влияние и привести к усугублению вашей проблемы. Важно помнить, что любое воспаление в ротовой полости – это весомый повод обратить за квалифицированной медицинской помощью.
Причины отека с болью
Если опухоль щеки сопровождается болью, причины могут быть следующие:
- Воспалительные процессы пародонта. В этом случае могут воспалиться обе щеки, но наиболее выраженная опухоль возникает на одном участке, пораженном инфекцией.
- В ряде случаев, когда опухла щека, причины этого явления могут заключаться в некачественном пломбировании каналов корня, запущенном состоянии зубов. Часто щечной припухлости предшествует боль в зубе. Очаг воспаления локализуется в области нижней или верхней челюсти и примыкает к корню зубной единицы. По истечении нескольких дней может возникнуть флюс, позднее трансформирующийся в гнойник, абсцесс.
- Нарушение роста зуба мудрости. Изначально припухлость может возникнуть в области расположения этих зубов. В этом месте появляется капюшон из слизистой, где могут скапливаться частички еды, в результате чего слизистая раздражается и воспаляется. Возникает саднящая боль, десенный отек и щечная припухлость. Если зуб частично прорезался, он может постоянно травмировать слизистую внутри (при разговоре, еде), что провоцирует небольшое воспаление на щеке, которая распухает еще больше.
- Воспалительный процесс после удаления зубной единицы. Нередко подобное явление является нормой, ведь стоматолог, вырывая зуб, механически травмирует ткани около него.
При неправильной гигиене в постоперационный период может возникнуть инфицирование лунки, которое приводит не только к боли, щечной отечности, но и к более серьезным последствиям.
- Кистообразование. Зубная опухоль развивается определенное время (до 2 лет), впоследствии новообразование может поразить надкостницу. Заболевание сопровождается резкой болью в пораженном зубе, отечностью и болезненностью щечной области.
Опухла щека и десна, а зуб не болит
Когда у человека опухла десна и щека, но зуб не болит, причинами такого явления могут быть:
- Аллергия. Может возникнуть как реакция на использование определенных стоматологических материалов, проявляющаяся через некоторое время после пломбирования, протезирования. Когда распухла щека, но зуб не болит, аллерген может быть не связанным со стоматологическим вмешательством. В таком случае отек способен распространяться не только на область щеки, но и носа, глаза, «расползаться» к губе, затрагивать все лицо.
- Удаление нерва. Процесс происходит в силу индивидуальных особенностей пациента: наличия сложных ответвлений каналов, где может остаться небольшая часть нерва. В таком случае после пломбирования может возникнуть отечность без болезненных ощущений.
- Вырванный зуб, рассечение десны. При проведении подобных операций отек является закономерным явлением. Он может сохраняться в течение недели и поначалу (1–2 постоперационные сутки) сопровождается болевым синдромом средней выраженности (в области лунки) и отечностью. В этом случае ситуация, когда припухла щека, но зуб не болит, является нормой.
- Инфекционные заболевания. Нередко щечная область может припухнуть при отсутствии болевых ощущений. Подобное состояние возникает при инфекционном воспалении лимфатических узлов у ребенка. Инфекционные поражения сопровождаются высокими температурными показателями, ломотой.
В случае серьезных заболеваний внутренних органов возможно нарушение оттока жидкости, в результате чего происходит ее скопление в области щек, скул, шеи, возле глаз, носа.
- Патологии неврологического характера. Данные заболевания сопровождаются не только отечностью, но и заложенностью в ушах, болью в околоушной области, болезненностью горла (больно говорить, глотать), ощущениями ломоты в лице.
- Травма, ушиб. В большинстве случаев травмы и ушибы сопровождаются отечностью мягких тканей. При устранении болевого синдрома или его изначальном отсутствии припухлость сохраняется.
Когда зуб не болит, а щека опухла, думать, что делать, необходимо после спокойного анализа собственного состояния, оценки сопутствующих симптомов.
Ситуации, когда отек не угрожает здоровью
Чтобы узнать, почему щека опухает, но ничего не болит, нужно сходить к врачу. Если так происходит после удаления зуба, волноваться не нужно. Припухлость щеки могут вызвать следующие причины:
- Наличие отека до операции.
- Экстракция на фоне выраженного воспалительного процесса.
- Сложные операции в ротовой полости. Длительные хирургические вмешательства, представляющие собой сложные многоэтапные процессы: удаление зуба мудрости, выпиливание кости – приводят к сильному травмированию тканей вокруг. Пародонт, подвергшийся механическому повреждению, может воспаляться, реагирует отеком, который распространяется на щечную область.
- Наличие определенных заболеваний, способствующих возникновению отечности после операции: гипертония, неврологические расстройства. При подобных патологиях ситуация, когда отекла щека, а зуб не болит, явление нередкое.
- Когда воспалена десневая ткань. В таком случае производится разрез десны, что и провоцирует щечный отек. При наличии абсцесса, флюса до удаления зуба стоматолог рассекает десенные ткани, чтобы дать отток гною. В результате ткань отекает, опухоль распространяется дальше.
В норме состояние, когда после оперативного вмешательства раздуло щеку, длится не более недели. Отечность щечной области после экстракции спадает постепенно и проходит определенные стадии:
- Через несколько часов после операции, а иногда и в первые сутки, может присутствовать отек с болевым синдромом средней выраженности либо с отсутствием боли.
- На третьи постоперационные сутки опухоль достигает максимальных размеров, возникает ощущение, что надуло щеку. В последующие дни отечность уменьшается, исчезает она на 7–8 день.
Лечение отека щечной области
При возникновении припухлости щечной области, нужно незамедлительно обратиться к врачу. В стоматологии на основе диагностических мероприятий специалист скажет, как снять отек щеки, как лечить это состояние и исключить возможные осложнения. Исключением может стать период после вырывания зуба, когда припухлость исчезает не сразу, а по истечении недели.
Если у пациента опухает щека, но ничего не болит, проводится детальная диагностика, направленная на выяснение причины явления.
Возможно возникновение ложного ощущения, будто опухает щека от зуба. Такое состояние нередко проявляется при неврологических заболеваниях.
Иногда болезненность и отек не связаны со стоматологическими проблемами, хотя болевые ощущения локализуются именно в области челюсти. В таком случае пациент направляется к неврологу. Помимо этого, отек без болевого синдрома может быть вызван серьезными гормональными нарушениями, тогда необходимо проконсультироваться и лечиться у эндокринолога.
Состояние, почему щека опухла, а зуб не болит, исследуется стоматологом, в результате чего определяется лечебное направление. При наличии выраженного болевого синдрома, когда отек щеки возникает при сильной зубной боли, возможно хирургическое вмешательство. Такие симптомы характерны для кистозных новообразований, пульпитов, требующих незамедлительной врачебной помощи. При возникновении воспалительного процесса может быть назначен курс антибиотиков.
Лечение воспаления на щеке в домашних условиях
В ситуации, когда опухла десна и щека, необходимо что-то делать, чтобы облегчить состояние до посещения специалиста. Снять болевой синдром и отечность в домашних условиях можно следующими средствами:
- Полоскания рта травяными отварами и растворами из природных компонентов. Заваренные цветы календулы, ромашки, отвар шалфея, оказывают выраженный противовоспалительный, успокаивающий и очищающий эффект. Необходимо взять 2 столовые ложки цветов, залить 1 стаканом крутого кипятка, настаивать 15 минут. Нужно полоскать полость рта 2 раза в день, можно смачивать кусочек ваты и прикладывать изнутри.
- Когда вздулась щека эффективно применение растворов с содой или солью. Растворы помогают убрать припухлость, оказывают обезболивающее и антисептическое действие. Сделать раствор можно так: одну чайную ложку соли или соды нужно добавить в стакан теплой воды и перемешать. Полоскать ротовую полость надо несколько раз в день.
- Охлаждающие, противоотечные мази и гели. Данные препараты эффективно снимают отек и устраняют боль. Среди наиболее распространенных – Троксевазин, Фастум гель. Средства аккуратно втираются в пораженную область. Процедура повторяется 2–3 раза в день. Наиболее эффективно применение препаратов для снятия отека при аллергических реакциях и в случаях, когда у малышей режутся зубки.
- Полоскания аптечными антисептиками. Антибактериальные препараты, оказывающие заживляющее и регенерирующее действие, результативны всегда, когда раздулась щека, независимо от причины опухоли. Поэтому обосновано их широкое распространение. К популярным антисептикам относятся: Фурацилин, Хлоргексидин, перекись водорода.
Если Фурацилин покупается в таблетках, раствор делается самостоятельно: одну таблетку надо растворить в 100 мл горячей воды. Средство держится во рту преимущественно со стороны отека, затем выплевывается. Процедура повторяется 3 раза в день.
Хлоргексидином ополаскивают ротовую полость дважды в сутки. Перекись водорода разводится с водой в пропорциях 1 к 1. Полоскания стоит повторять дважды в день.
Профилактика
Независимо от того, почему опухает щека и каковы причины ее отека, необходимо соблюдать простые правила, предотвращающие заболевания полости рта. Основные профилактические меры:
- Соблюдение гигиенических процедур полости рта. Необходимо чистить зубы не менее 10 минут 2 раза в день. Стоит использовать зубную нить для удаления остатков пищи, налета. Убирайте налет как можно тщательнее, он создает оптимальную среду для размножения болезнетворных микробов.
- Регулярные посещения стоматолога. Посещение специалиста поможет предотвратить многие заболевания, выявить существующие проблемы, избежать осложнений. Стоматолог проведет профессиональный осмотр ротовой полости, профессиональную чистку зубов. При необходимости будет назначен комплекс лечебных мер.
- Сбалансированное и рациональное питание. Полноценный рацион укрепляет организм, обеспечивает его насыщение необходимыми элементами, что самым благотворным образом влияет на здоровье зубов и десен. Повышается сопротивляемость вредным микроорганизмам, способность к восстановлению мягких и костных тканей.
- Применение витаминных комплексов, которые восстанавливают баланс полезных веществ и элементов, восполняя их нехватку.
- Физические нагрузки. Физическая активность улучшает общее состояние организма, укрепляет иммунную систему, усиливает обменные процессы, улучшает функционирование всех систем.
- Здоровый психоэмоциональный фон. Многие неприятные симптомы возникают на фоне психоэмоциональных расстройств, в том числе неврологические боли и отечность в области лица.
- Регулярные обращения к терапевту помогут вылечить заболевания, провоцирующие воспалительные процессы в ротовой полости, расстройства регенеративной способности костной ткани, проблемы с зубами.
Состояние, когда возникает отечность щечной области, может быть вызвано рядом причин. Необходимо обращаться к доктору незамедлительно для выяснения и устранения фактора, спровоцировавшего отек и предотвращения возможных осложнений.
Причины
Опухоль щеки без зубной боли может быть связана со многими факторами, в результате которых в тканях лица происходит накопление жидкости. Ими являются:
- пародонтоз;
- аллергия;
- удаление нерва;
- развитие пульпита или периодонтита;
- воспаление десен;
- неврологические проблемы;
- воспаление лимфатических узлов;
- паротит;
- киста;
- травма;
- укус насекомого.
Помимо перечисленных причин, которые считаются самыми распространенными, щека также опухает при воспалительных процессах слизистой носа, гормональных нарушениях, онкологических заболеваниях.
Пародонтоз
Заболевание возникает при поражении пародонта (околозубной ткани) вследствие недостаточного кровоснабжения десен, что приводит к потере зубов особенно в пожилом возрасте. При пародонтозе отек щеки может произойти в любой момент.
Аллергия
Такая реакция может появиться на продукт, лекарство, материал пломбы.
Удаление нерва
В процессе лечения пульпита (воспаления ткани зубной полости) обычно удаляется нерв, поэтому зуб не болит. Опухшая щека свидетельствует о наличии воспаления в корневой части зуба.
Развитие пульпита или периодонтита
Если же пульпит не лечился, то заболевание усугубляется появлением гнойных очагов, развитие которых распространяет инфекцию в кровь, что очень опасно для организма. К такому же результату может привести периодонтит (воспаление прикорневых тканей зуба).
Воспаление десен
После разреза десны для вывода гнойной жидкости может увеличиваться отек щеки за счет травмирования тканей во время операции. Со временем опухоль спадает. При воспалении десен (гингивите) также возможно опухание щеки.
Неврологические проблемы
Одним из примеров можно назвать отек Квинке, возникающий при нарушении снабжения тканей нервами. Причин заболевания множество: от аллергии до наследственности. Этому явлению подвержены люди со слабой функцией щитовидной железы или яичников. Наблюдается от 2-3 часов до нескольких дней.
Воспаление лимфатических узлов
Заболевание зачастую сопровождается очагом гнойной инфекции, спровоцированной бактериями – стафилококками и стрептококками.
Паротит
Для пациентов наиболее привычное название этой болезни – «свинка», которая сопровождается воспалением слюнных желез, приводящим к опуханию щеки, и является инфекционной. Передается через кашель, чихание, разговор, а также общие предметы пользования.
Киста
Небольшое круглое образование на внутренней поверхности щеки (киста) может вырасти до 2 см, возникает в результате травмы при разговоре, приеме пищи.
Травма
Отеку щеки способствует удар, ушиб. Степень травмы исследуется и лечится у специалиста. При незначительном повреждении опухоль спадает на следующий день.
Травма также может появиться при трении сколотой части зуба о слизистую рта на щеке. Проникающие через ранку бактерии вызывают воспалительный процесс и опухание.
Укус насекомого
Пчелы, осы, шмели, другие насекомые способны своим укусом вызвать увеличение щеки в размерах.
Первая помощь
При стоматологических заболеваниях:
После удаления нерва следует применять полоскания растворами соли, соды, настоями противовоспалительных средств из аптеки, отварами ромашки, зверобоя, шалфея. Эти методы на некоторое время помогут невылеченным зубам и проблемным деснам.
При травме:
Если припухлость возникла в результате удара и лицевые кости целы, то до посещения врача нужно применить один из доступных способов: чередовать холодный и сухой теплый компресс, прикладывать ломтиков сырого картофеля, нанести гель троксевазин или бутадионовую мазь.
После укуса насекомых:
Компресс из содового раствора или алоэ, одноразовый прием противоаллергического препарата рекомендуется, если опухание наступило в результате укуса насекомого.
Универсальные методы:
Независимо от причины отекшей щеки можно воспользоваться травяными сборами: шалфея, синеголовника и русского горчичника; зверобоя, шалфея и коры дуба; перечной мяты, березовых почек, барвинка и дудника. Теплым настоем смеси следует полоскать рот несколько раз.
Полезные советы
- Для успешного лечения асимметрии лица при отеке противопоказано самолечение: только первичное снятие симптома с последующим обращением к врачу.
- Не следует накладывать горячие компрессы, так как они способствуют образованию и распространению гнойного процесса.
- Прием антибиотиков назначает только врач, поскольку такие препараты серьезно воздействуют на иммунную систему.
- Больную щеку не надо тревожить: мять, нажимать, лежать на ней. Не рекомендуется горячая пища и напитки.
Возможные осложнения при увеличении отека
Когда опухоль щеки прогрессирует, то наблюдается повышение температуры тела. Процесс может распространиться на глаз, а при стоматологических проблемах велика вероятность лишения зуба. Если вовремя не обратиться в поликлинику, то возникшее гнойное образование, проникая через кровь, поражает организм.
Специализированная помощь
В любом случае, даже если опухоль прошла, нужно показаться врачу во избежание рецидива и осложнений.
Если у терапевта возникнет подозрение на поражение слюнной железы, то он направит больного на обследование несколькими специалистами.
Рентгеновский снимок помогает определить диагноз и проводить лечение в нужном направлении.
При воспалении слизистой оболочки полости рта доктор прописывает антибиотик и противовоспалительное средство.
Лечение отека Квинке зависит от локализации и степени распространения поражения. Активная медикаментозная терапия должна дополняться специальной диетой, физическими упражнениями, прогулками.
Обращение к специалисту оградит от неприятностей, поможет грамотно вылечить отек и не получить осложнений заболевания.
Симптоматика возникновения отека
Отек щеки – признак воспаления слизистой оболочки ротовой полости, возникшего от проникновения внутрь поврежденного участка патогенной микрофлоры, обитающей во рту.
Если такое состояние наблюдается после вырывания зуба, то это считается нормальным явлением. Беспокоиться необходимо, если появилась симптоматика:
- Припухлость щеки держится на протяжении 4 дней, постепенно увеличиваясь в размерах. Это может означать наличие гнойного процесса, который может распространиться по организму.
- Болезненность очень сильная, не уменьшается.
- Присутствуют такие дополнительные симптомы, как повышенная температура тела, слабость, боль во время жевания.
- Отек сопровождается трудностями с открытием рта, глотанием. Это может означать проникновение инфекции в миндалины.
- Ткани на месте опухлости напряжены, под ними ощущается уплотнение.
- Отек онемел и нарушилась мимика лица.
Иногда становится заметным наличие налета, полнокровность сосудов на лице. При появлении таких симптомов следует обратиться к врачу.
Причины опухоли щеки
Существует много причин, по которым сильно раздувается щека. Большинство из них относятся к заболеваниям ротовой полости и осложнениям стоматологических процедур. Иногда подобное явление может свидетельствовать о наличии болезней других органов или систем человеческого организма. Выделяют причины появления опухоли щеки.
Гнойный периостит (флюс)
Флюс является причиной опухания щеки. Причиной заболевания является травма и запущенная форма кариеса. О гнойном периостите можно говорить, если кроме отека наблюдается пульсирующая боль, повышенная температура тела, образование гнойного свища.
Если вовремя не обратиться к врачу, то гнойник может прорваться и заразить весь организм, став причиной летального исхода.
Рост зуба мудрости
Когда зуб мудрости растет в зрелом возрасте, он прорезывается неправильно, из-за чего появляется слизистый капюшон, где собираются кусочки пищи, размножаются патогенные микроорганизмы.
Это приводит к развитию воспаления, характеризующегося появлением симптомов:
- слабость;
- лихорадка;
- припухлость десны, щеки;
- болезненность.
После частичного появления зуб мудрости может травмировать щеку, провоцируя воспаление. При появлении проблемы нужно сразу пойти к врачу, чтобы он назначил лечение или удалил зуб.
Развитие абсцесса и флегмоны
Запущенное воспаление десневой ткани способно привести к развитию абсцесса или флегмоны. При флегмоне гной свободно распространяется, поражая окружающие ткани, а при абсцессе гной находится в сформированной полости, имея вид уплотнения. Это сопровождается опуханием, болезненностью мягких тканей с одной стороны лица.
Развитие явления происходит по причине травмы, ожога, прорезывания зубов мудрости или гнойного периостита.
Развитие гингивита
Щека может опухнуть вследствие воспаления десны – гингивита, который при отсутствии своевременного лечения переходит в пародонтит. К симптомам гингивита помимо отека можно отнести кровоточивость, болезненность десен, зловоние изо рта.
Припухлость может появиться от травмирования десны во время стоматологической операции.
Травмы или ожог слизистой оболочки
Прием чрезмерно горячей пищи или напитков, а также удар или любое механическое повреждение щеки, также способны обернуться появлением опухания. Ожог при этом может быть не только термическим, но и химическим.
Травмировать ткани может неправильный прикус, острые кончики зубов. При механических повреждениях или ожогах отек должен самостоятельно пройти спустя пару дней. Если этого не произошло, нужно обратиться к врачу.
Недостаточная гигиена полости рта
При отсутствии надлежащего ухода за полостью рта спустя время начинают образовываться камни, налет, появляется отечность десны, а позже половины лица. Воспалительный процесс «надувает» щеку. Все это сопровождается болезненностью, кровоточивостью, неприятным запахом.
Другие причины
Спровоцировать отек десны и щеки могут:
- заболевания внутренних органов;
- инфекционное или грибковое заражение;
- болезни неврологического характера;
- аллергическая реакция;
- удаление нерва;
- онкология;
- болезни носоглотки;
- болезни зубов: пульпит, стоматит, пародонтоз;
- воспаление лимфоузлов;
- киста;
- осложнения после удаления зуба.
Причиной отека может стать укус насекомого (пчелы, осы) или аллергическая реакция на анестезию, материал пломбы, продукты питания, медикаменты и другие вещества. Прежде, чем начать лечение, нужно установить причину патологии.
Как снять отек щеки?
Если опухла десна или щека, необходимо обратиться в поликлинику для определения причины явления. Рекомендуется сначала пойти к стоматологу, поскольку чаще всего причина кроется в стоматологических заболеваниях.
Врач проведет опрос и осмотр, после отправит на рентген. Если диагноз не подтвердится, то пациент отправляется за консультацией к врачам. После того, как причина выявлена, назначается лечение.
Медикаментозное лечение
Медикаментозные средства подбираются в зависимости от того, что послужило причиной развития отечности. Если серьезные патологии внутренних органов не были обнаружены, то подбирается противоотечное средство: Троксевазин, Метродент.
Могут назначаться препараты:
- противовоспалительные препараты при воспалении: Нимесил;
- обезболивающие: Кетанов, Ибупрофен;
- антисептики: Мирамистин, Хлоргексилин;
- антигистаминные препараты при наличии аллергии: Диазолин, Супрастин.
При инфекционном заражении врач подбирает антибиотик: Амоксиклав, Доксициклин, Бисептол. Таблетки подбираются с учетом чувствительности возбудителя. В тяжелых случаях проводится хирургическое вмешательство.
Медицинские процедуры
При стоматологических заболеваниях, сопровождающихся отеком щеки, в дополнение к медикаментозной терапии, врач может рекомендовать следующие физиотерапевтические процедуры:
- электромагнитные излучения;
- лазерная терапия;
- ионофорез;
- воздействие на пораженный участок током.
Эти процедуры помогают устранить симптоматику и способствуют ускоренному заживлению тканей. Часто физиотерапия назначается при периостите, но только после устранения нарыва.
Народные средства
До похода к врачу или в дополнение к медикаментозному лечению, можно применять средства народной медицины:
- полоскание полости рта содово-солевым раствором;
- компрессы из сока каланхоэ или алоэ;
- полоскание отваром из ромашки и шалфея;
- компресс из сырого картофеля;
- применение аппликаций из прополиса;
- различные травяные сборы.
При отечности щеки эффективными считаются полоскания. Можно залить стаканом кипятка несколько зубчиков чеснока, дать им немного настояться или же развести с водой перекись водорода в соотношении один к одному.
Помогает ромашковый отвар с добавлением пары капель йодного раствора. Можно прикладывать холодный компресс.
В каких случаях отек безопасен?
После экстракции зуба отечность щеки не представляет собой опасности. После такой операции опухание считается нормальным явлением, но только в случае, если оно спадает спустя пару дней. Не стоит беспокоиться, если к вечеру после удаления корня кроме отека повысилась температура тела, а к утру все прошло.
Наличие слабой зубной или головной боли, которая уменьшается, является индивидуальной особенностью организма, которая не нуждается в лечении. Безопасный отек щеки возникает после удаления зуба у людей, страдающих от давления, лишнего веса и людей, имеющих на лице большое количество подкожной клетчатки.
